备孕或怀孕后,不少家庭都会陷入两难:家里的猫主子、狗主子舍不得送走,可又总听说 “怀孕不能养宠物,会感染弓形虫”。


一边是朝夕相处的毛孩子,一边是肚子里的宝宝。怀孕到底能不能养猫猫狗狗?弓形虫真会造成孩子畸形或流产吗?那到底怎么做是正确的?今天就把这些问题说清楚!

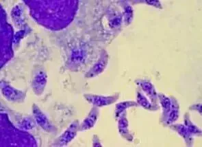
弓形虫是什么?
弓形虫,被科学家们称做「地球上最成功的寄生虫」之一,因为它们无处不在、遍布全球。夏秋季处于高传染期,可感染包括人在内的一百四十多种动物,能够引起人兽共患的弓形虫病。

弓形虫是如何感染人类的?
我们先了解下,弓形虫是怎么传播的。猫是弓形虫的主要传染源,弓形虫在猫科动物体内进行繁殖,产生大量未孢子化的卵囊,并随着粪便排出,一段时间后会孵化为孢子化的卵囊,污染中间宿主(人、猫、狗、猪、牛、羊、鸡等)。

所以人被弓形虫感染,有可能是食入了被猫粪便中的孢子化的卵囊污染的水源或者食物(包括被污染的狗、猪、牛、羊、鸡等肉制品以及生熟菜板没分开导致被污染的食物)
人与人之间也会传播,就是胎盘传播。另外,输血和器官移植也可能发生传播。
但不必过于恐慌,因为人和动物在弓形虫感染治愈后会产生持久免疫力,再次感染几率极低。
怀孕能不能养猫猫狗狗?
答案是:可以,但不是所有!

未感染或者很早之前感染过的猫可以养,但要做好防护,比如:比如不给猫喂生肉、避免猫外出捕猎(防止感染弓形虫)。
狗也可以养,狗属于中间宿主,不能排出具有传染性的卵囊,所以不需过度担心。
当孕妇很早之前就已经感染过弓形虫的话,体内已有抗体,反而会保护胎儿不受感染。

当孕妇怀孕期间第一次感染弓形虫,则对胎儿影响较大。弓形虫通过胎盘屏障或羊水进入胎儿胃肠道进行感染,胎儿发育会受到不同程度的损害,甚至死亡。

在备孕期间感染弓形虫对生育影响较大。2025年3月,《欧洲生化联合会会刊》发布了一篇“炸裂”研究。研究人员在实验中将弓形虫与健康捐献者的精子放在一起进行观察,5分钟后发现有22.4%的精子被斩首。15分钟后,这些破损的精子数量更是暴涨了8倍!因为精子头部储存了遗传物质,所以一旦头部断裂,造人希望就破灭了。

因此,建议在备孕时进行血清学TORCH检测。测。
TORCH 检测(包含弓形虫 IgM 和 IgG 抗体),如果 IgM 阳性(提示近期感染),建议治愈后再备孕;如果 IgG 阳性(提示既往感染),则可以正常备孕。
如何预防弓形虫感染?
1. 改变不良饮食习惯,菜板注意生熟分开, 不食用未熟的动物肉, 不饮用未消毒的乳制品。
2. 家养动物定期去正规机构体检、驱虫,不给猫喂食生肉。

3. 猫砂最好每天清理,因为猫粪便中的卵囊需要 1-5 天才能发育为具有传染性的孢子化卵囊。
4. 清理猫砂时,建议佩戴一次性手套,清理后用肥皂水彻底洗手。
本文内容为公益宣传科普,如有侵权请联系删除!